Progress Faster With Unrivaled High-Performance Recombinant Antibodies
We manufacture recombinant antibodies by cloning antibody genes into high-yield expression vectors and introducing these vectors into hosts.

Recombinant antibodies can succeed where other manufacturing methods often fall short. This method isn’t limited by low reproducibility and genetic drift, which lead to variations in the final antibody. Additionally, the generation of antibodies targeting more difficult targets such as toxins, nucleotides, and membrane-bound proteins is possible.
Our recombinant antibodies deliver many advantages, including batch-to-batch consistency, confirmed specificity, and ease of scalability, so that you can progress your research faster.
The advantages of recombinantly manufactured antibodies
Our recombinantly manufactured antibodies provide:
- Unrivaled batch-to-batch consistency
- Confirmed specificity due to industry-leading validation
- Ease of scalability and long-term supply
- High-throughput in vitro manufacture of recombinant antibodies.
Unrivaled batch-to-batch consistency
Due to the use of a unique set of genes, recombinant antibody production is controlled and reliable. This leads to antibodies with high batch-to-batch consistency, meaning you can achieve highly reproducible results and move your project forward faster.

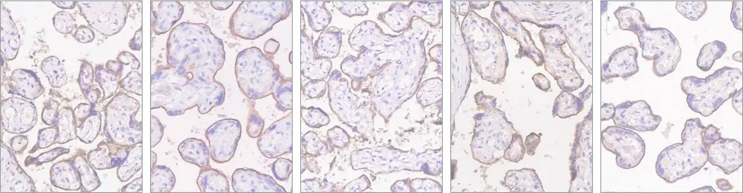
Figure 1. Batch-to-batch reproducibility in the localization of PD-L1 in FFPE human placenta across five batches of our anti-PD-L1 [28-8] recombinant rabbit monoclonal antibody (ab205921). IHC was performed manually using a Biocare Decloaking Device and Universal HIER antigen retrieval reagent (ab208572). The primary antibody was incubated overnight at 4°C, followed by goat anti-rabbit secondary antibody and HRP-linked anti-goat polymer antibody (ab209101). DAB was used as a chromogen with a Hematoxylin counterstain.
The KD value is a quantitative measure of antibody affinity. The lower the KD value, the higher the affinity of the antibody. Analysis of KD values of our recombinant anti-PDL1 antibody shows that its affinity remains high across five different batches (Table 1).

Table 1. Analysis of KD values for five different batches of our recombinant anti-PD-L1 antibody [28-8] (ab205921).
Improved sensitivity and confirmed specificity due to industry-leading validation
To ensure specificity, our recombinant antibodies undergo industry-leading validation. This includes over 4,400 with knock-out validation, so you can move your research forward faster.
And because the selection process for the desired clone occurs at both the hybridoma and recombinant cloning stages, we can select antibodies with the most favorable qualities for you.
Our recombinant antibodies have a remarkably high affinity, with KD values in the picomolar (10-10–10-12) range. High-affinity antibodies allow greater sensitivity in assays as they bind strongly to the antigen and maintain this bond better under challenging conditions compared to low-affinity antibodies.
The following example demonstrates the differences in specificity between recombinant antibodies and other antibody types:

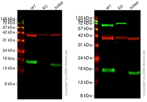
Figure 2. Our recombinant anti-GRIM19 [EPR4471(2)] (ab109017) antibody (left) being tested on knock-out and wild-type samples against our monoclonal anti-GRIM19 [6E1BH7] (ab110240) antibody.
Ease of scalability and long-term supply
Recombinant antibody manufacturing relies on cloning antibody genes into expression vectors. Thus, antibody expression can be performed at any scale, allowing for a guaranteed supply and, therefore, providing you with continuity of supply and peace of mind for projects of all sizes. This makes recombinant antibodies an excellent solution for long-term studies or when using the same antibody across multiple samples.
High-throughput in vitro manufacture
Once the antibody-producing genes have been isolated, high-throughput in vitro manufacture can be performed. For antibodies generated using our phage display technology, the gene encoding the antibody can be isolated using an animal-free procedure.
What are recombinant monoclonal antibodies?
Recombinant antibodies can be produced as monoclonal or multiclonal antibodies. A recombinant monoclonal antibody consists of identical antibody chains that target the same epitope of a specific antigen. Targeting multiple epitopes on the same antigen allows for greater sensitivity and the ability to detect the presence of or low abundance targets or detect lower concentrations of the antigen. The use of identical chains across batches improves the reproducibility of the results and allows Abcam to provide you with a guaranteed supply of antibodies with confirmed specificity.
What are recombinant multiclonal antibodies?
Recombinant multiclonal antibodies are a defined mixture of carefully selected individual recombinant monoclonal antibodies designed to recognize different epitopes on the same antigen. They’re an ideal solution for applications that traditionally use polyclonal antibodies, bringing the same specificity and reproducibility benefits as recombinant monoclonal antibodies.
The mix of antibodies that makes the recombinant multiclonal antibodies is carefully controlled. Each recombinant monoclonal antibody in the mix is developed from a defined set of genes that encode a specific set of antibodies with the desired characteristics. This ensures batch-to-batch consistency and reproducibility of results.
Our recombinant multiclonal range was awarded the CiteAb Innovation Award 2022.
A reliable replacement for polyclonal antibodies
Because recombinant multiclonal antibodies bind to multiple epitopes on the same target protein, they provide excellent sensitivity. This makes them suitable for when you need a reagent capable of analyzing low-abundance targets or detecting multiple post-translational modifications at once.
Figures 3 and 4 below compare the sensitivity of a polyclonal and recombinant multiclonal antibody for CD133, histone H3 (citrulline R2 + R8 + R17), and GFAP.
When to use recombinant multiclonal antibodies
You can use multiclonals in any situation where a polyclonal would traditionally be used but with additional benefits. Including:
- Post translational modifications (PTMs): while combining a number of these modifications can be difficult with just one monoclonal, multis can help you achieve multiple PTMs on targets.
- Low abundance proteins/targets: multiclonal epitope targeting allows greater sensitivity at lower concentrations.
- Pan targets: each monoclonal in the mix can target a different form of the pan target. In the broad range of cytokeratins where a monoclonal would only be able to detect one or two targets, we can now produce recombinant multiclonals against the whole family.
- Covers multiple species: where the target protein has low homology between the same protein of different species, we can mix monoclonals to different species to allow for detection across a range of species.
- Broader epitope coverage.

Figure 3. Our recombinant anti-Histone H3 (citrulline R2 + R8 + R17) multiclonal antibody [RM1001], ab281584 (left), tested in multiple sample types in western blot against our polyclonal anti-Histone H3 (citrulline R2 + R8 + R17) antibody, ab5103.

Figure 4. Immunofluorescent analysis of mouse primary neural/glia cells labeling GFAP with our recombinant anti-GFAP multiclonal antibody, ab278054 (left), against our polyclonal anti-GFAP antibody, ab7260.
What do our customers think
“This antibody gave strong, positive signal on the first try and has continued to work reproducibly for several months.” – Gabriel Galea, UCL GOS Institute of Child Health, using ab179484.
“Abcam’s anti-Synaptophysin antibody worked the first time. We were able to generate great images with a very low background using a confocal laser scan.” – Alexandre Magno, Universidade Federal de Minas Gerais (UFMG), using ab32127.